Hallux valgus je česta ortopedska patologija. Obično se liječi kirurški. Konzervativne metode - terapija vježbanjem, masaža, fizioterapija, lijekovi - igraju značajnu ulogu u prevenciji i postoperativnoj rehabilitaciji Hallux valgusa. U članku će se raspravljati o svim metodama liječenja hallux valgusa i devijacije nožnog palca.
Što je Hallux valgus
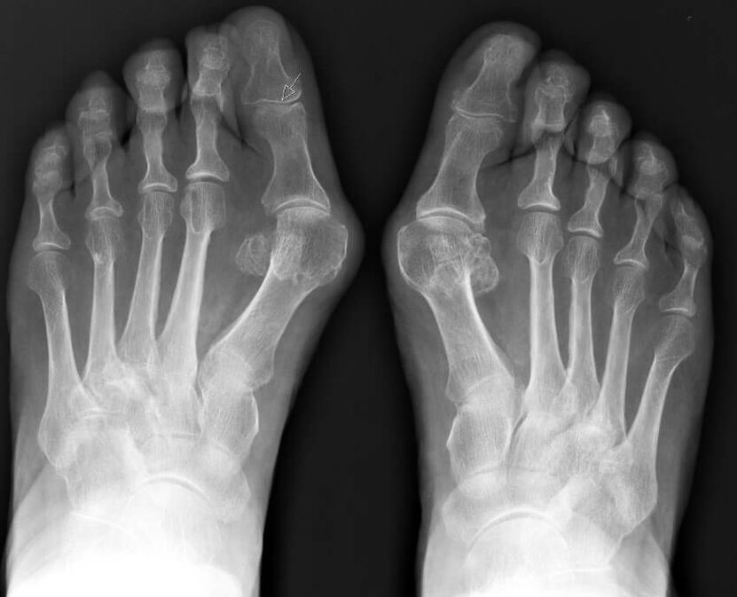
To je bolest kod koje se nožni palac pomiče u stranu i pojavljuje se kost u području metatarzofalangealnog zgloba. Šifra patologije za hallux valgus prema ICD 10 je M20.1.
Glavni razlog Hallux valgus bolest dolazi u obzir nasljedna slabost vezivnog tkiva. Čimbenici provokacije su:
- nošenje uskih cipela;
- stalno hodanje u petama;
- prekomjerna opterećenja.
Rjeđe se haluks valgus deformacija javlja zbog nedostataka u razvoju, ozljeda ili drugih bolesti.
Stupnjevi Hallux Valgusa i njihovi simptomi
Postoji nekoliko klasifikacija Hallux valgusa, koje razlikuju 3 ili 4 stupnja patologije. Autori smjernica za ortopede koriste sljedeću sistematizaciju stadija hallux valgusa:
| stupanj | Kut deformacije, u stupnjevima | Znakovi deformacije |
| 1 (slabo) | Manje od 20 | Bezbolna kvržica. Ponekad se nakon duge šetnje javlja nelagoda. |
| 2 (prosjek) | 25-35 (prikaz, ostalo). | Teška zakrivljenost, poteškoće pri hodanju u cipelama s petama i uskim vrhovima. Moguća bol, kurje oči i ponovna upala zgloba. |
| 3 (teška) | Više od 35 | Teška deformacija, problemi s odabirom obuće, otežano stajanje i hodanje, promjene u hodu. Karakteristični su česti bolovi, žuljevi, kurje oči i popratne promjene na stopalu. |

Liječenje hallux valgus deformiteta prvog nožnog prsta
Jedini način da se ispravi teški Hallux valgus je kirurška korekcija. Konzervativne tehnike koriste se uglavnom u početnim fazama deformacije. Hallux Valgus liječi ortoped.
Glavna metoda za određivanje stupnja patologije je x-zrake, koje se uzimaju u dvije projekcije s opterećenjem. Osim toga, liječnik može propisati plantografiju, CT, MRI i druge studije.
Operacija za ispravljanje Hallux valgusa
Kirurško liječenje je indicirano za umjerenu do tešku haluks valgus deformaciju. Na zahtjev pacijenta, ponekad se izvodi blaga operacija kako bi se uklonio kozmetički nedostatak. Postoje mnoge metode za uklanjanje kvržice:
- resekcija egzostoze;
- osteotomija;
- prijenos tetive prema McBrideu i drugima.
Intervencija se izvodi uobičajenom metodom ili perkutanom korekcijom (malim ubodima). Laserom je moguće izrezati izraslinu. Na bočnoj ili stražnjoj strani stopala napravi se jedan ili više rezova. Konus je odrezan, ponekad se stvaraju umjetni prijelomi glavne falange ili 1. metatarzalne kosti, fragmenti se fiksiraju vijcima.
U početnoj fazi Hallux valgus operacija traje 30-40 minuta, s teškom deformacijom – do jedan i pol sat.
Rehabilitacija nakon uklanjanja Hallux valgusa
Oporavak nakon uklanjanja kvržice traje oko 2 mjeseca. Ključ potpunog oporavka je strogo pridržavanje preporuka ortopeda. Ako se zanemaruju pravila rehabilitacije, u dugotrajnom razdoblju nakon operacije mogu se razviti komplikacije - ponovno formiranje hallux valgusa ili ograničenje pokreta u zglobovima tijekom cijelog života.
Koje cipele nositi nakon operacije
Od drugog dana smijete hodati u Barukovim cipelama. Prije nego što se oteklina smanji, trebali biste kretati se što je manje moguće, većinu vremena pacijent leži s podignutom nogom. Nakon 2 tjedna ukidaju se ograničenja hodanja. Korištenje Baruk čizme ostaje obavezno 1-1,5 mjeseci nakon ekscizije kosti. Zatim možete nositi široke tenisice ili čizme sa širokim vrhovima.
Trebate se odreći štikli na šest mjeseci.
Je li moguća masaža nakon operacije?
Masaža se može raditi nakon što rana potpuno zacijeli. Za bolju prokrvljenost i limfnu drenažu masirajte cijeli donji dio uda. Postupak započinje glađenjem. Zatim kružnim pokretima gnječite taban i stražnji dio stopala. Uhvatite rukama skočni zglob i pomaknite se prema koljenu. U završnoj fazi ponovno se izvode udarci.
Vježbe terapije za stopala s vijcima
Fizikalna terapija je obvezni dio rehabilitacijskog razdoblja za Hallux valgus i počinje u trećem tjednu nakon operacije. Prvo se prst savije i ispruži 3 puta, držeći u svakom položaju 10 sekundi. Vježbe se ponavljaju 3-4 puta dnevno. Svi pokreti se rade pažljivo, izbjegavajući nelagodu.
Od drugog mjeseca nakon uklanjanja Hallux valgusa, broj ponavljanja se povećava na 7-8, broj pristupa - na 6-8 dnevno. Neudobnost je prihvatljiva. Aktivni pokreti nadopunjuju se pasivnim (upotrebom ruku). Nakon mjesec i pol, morate stajati na nožnim prstima 5-6 puta dnevno, 7-8 puta, i zadržati ovaj položaj oko 10 sekundi.
Korisno je hodati po nagnutoj površini i penjati se stepenicama.

Korektivni zavoji
Korektivni zavoji se koriste nakon prestanka korištenja Baruk cipele. Proizvodi se sastoje od dva zavoja povezana šarkom i fiksiraju palac u abdukcijskom položaju. Nakon 1-1,5 mjeseci zavoj se zamjenjuje silikonskim umetcima. Noga ne smije biti stisnuta – to ometa cirkulaciju krvi i može uzrokovati ozljede mekog tkiva.
Kako se riješiti Hallux valgusa bez operacije
U uznapredovalim stadijima hallux valgusa nemoguće je u potpunosti izliječiti čukljev konzervativnom korekcijom. Sve konzervativne metode koriste se samo za uklanjanje boli, sprječavanje komplikacija i progresije zakrivljenosti.
Kako bi se osigurali rezultati liječenje treba započeti pri prvim znakovima pojava hallux valgusa. Učinkovite su posebne vježbe, masaža, fizioterapija, nošenje ortopedskih pomagala u kombinaciji s korištenjem narodnih lijekova.
Masaža stopala i palca
Postupak se preporuča provesti nakon tople kupke.
- Noga s deformiranim prstom je savijena u koljenu i postavljena na bedro druge noge, s potplatom okrenutom prema unutra.
- Potplat se gnječi šakom, naizmjenično pritiskajući različita područja u distalnom dijelu.
- Hallux valgus kvržica se masira kružnim pokretima, zatim se svi prsti istežu i gnječe.
- Kako biste potaknuli odljev krvi i limfe, obuhvatite noge rukama i pomičite dlanove od stopala prema koljenu.
Lijekovi za deformitet
Za uklanjanje upale u području Hallux valgus koriste se lokalni protuupalni lijekovi.
Formiranje hallux valgusa prati razvoj artroze i pogoršanje lokalnih metaboličkih procesa. Stoga se za poboljšanje protoka krvi i poticanje popravka tkiva koriste lijekovi s kondroprotektivnim učinkom.
Postoje posebne složene masti protiv Hallux valgusa. Primjerice, posebna krema sadrži ulje morskog psa, prirodna ulja i ekstrakte koji djeluju protuupalno, otklanjaju bol i potiču regeneraciju tkiva.
Za smanjenje boli i upale možete koristiti flastere, obloge od propolisa, čička i terpentina, crvene gline i morske soli. Svi sastavi se nanose na izbočenu kost, prekrivaju zavojem, ostavljaju 1-2 sata, zatim isperu.

Može li se hallux valgus korigirati vježbama?
Vježbe za Hallux valgus mogu ojačati ligamente i mišiće te pozitivno utjecati na male kosti. Terapeutska gimnastika se provodi nakon zagrijavanja deformacije hallux valgus pomoću masaže. Izvedite sljedeće vježbe:
- Naizmjenično hodanje na petama s osloncem na vanjski i unutarnji rub stopala.
- Hodanje po visećoj strunjači.
- Kotrljanje elastične lopte.
- Ekstenzija i kompresija nožnih prstiju u sjedećem položaju.
- Hvatanje predmeta (olovke, salvete, male igračke).
- Crtanje raznih oblika u zraku.
- Rastezanje elastične trake postavljene na palcem stopala širenjem stopala.
- Pasivna fleksija i ekstenzija bolesnog zgloba rukama.
Vježbe se izvode svakodnevno, upotpunjuju slobodnim istezanjem i glađenjem kako bi se smanjila napetost u mišićima. Samo stalna opterećenja mogu utjecati na tijek bolesti.
Ortopedska pomagala
S obzirom na materijal, sve naprave za Hallux valgus dijele se u tri skupine: meke, polukrute i tvrde. Meke se koriste tijekom dana, polutvrde - do nekoliko sati. Kruti su dizajnirani za osiguranje stopala noću.
Ovisno o vrsti konstrukcije, postoje:
- Međuprstni umetci — ispraviti položaj prvog prsta u ranoj fazi deformacije ili u postoperativnom razdoblju. Izrađena od mekanog silikona.
- Jastučići za potplate - mekani proizvodi koji se koriste za poboljšanje apsorpcije udaraca. Ponekad su dostupni sa septumom koji eliminira hallux valgus.
- Korektori i zavoji — preporučuje se za umjerene i teške stadije. Mogu biti mekani ili polukruti i držati značajan dio stopala. Također se koriste za valgus stopala.
- Ortopedske udlage — namjestiti hallux valgus kut. Koriste se u kasnijim fazama i samo noću, jer su nekompatibilni s cipelama.
Fizioterapija za Hallux valgus
Fizioterapeutski postupci smatraju se dijelom sveobuhvatnog liječenja i dobro se slažu s masažom i terapijom vježbanjem. Koriste se sljedeće metode:
- Parafinska terapija — osigurava duboko zagrijavanje mišića i ligamenata, poboljšava cirkulaciju krvi, aktivira lokalni metabolizam.
- Terapeutsko blato - imaju isti učinak kao parafin. Ublažava napetost mišića.
- Laserska terapija — pomaže proširiti kapilare, smanjiti otekline i poboljšati apsorpciju proteina u stanicama.
- Ultrazvučna terapija - aktivira metabolizam i mikrocirkulaciju u tkivima. Potiče proizvodnju kolagena. Smanjuje bol i otok u području haluks valgusa.
- Terapija udarnim valom — uklanja stagnirajuće procese, potiče protok krvi, poboljšava opskrbu kisikom i hranjivim tvarima, aktivira regeneraciju. Učinkovito djeluje ne samo na ligamente i mišiće, već i na osteohondralno tkivo.
Prevencija haluks valgusa
Prevenciju Hallux valgusa treba započeti rano. Posebnu pozornost treba posvetiti zdravlju dječjih stopala, čija obitelj ima rođake koji boluju od Hallux valgusa s izbočinama na palčevima. Čukalj se formira kada postoji poprečno ravno stopalo, pa djeca i odrasli s ovom patologijom trebaju redovito izvoditi vježbe za jačanje ligamentumskulus aparata.
Važno je odabrati prave cipele - labave, sa stabilnim potplatom, od prirodnih materijala. Trebali biste se odreći štikli. Korisno je nositi nosače za lukove. Ako je indicirano, preporuča se korištenje ortopedskih uložaka. Korisna je redovita, ali ne pretjerana tjelesna aktivnost.
Trebali biste se riješiti viška kilograma kako biste smanjili statičko opterećenje.























